歯周病治療
- HOME
- 歯周病治療
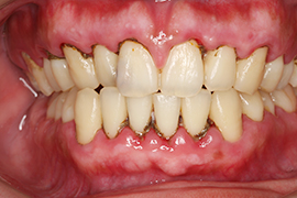
こんな症状があったら歯周病かも?

歯周病は国民病ともいわれ、日本人の成人の約80%が歯周病、またはその予備軍といわれています。次のような症状はありませんか?もしかしたら歯周病のサインかもしれません。気になる症状がありましたら、お早めに都営三田線「板橋本町駅」より徒歩30秒の「アース歯科クリニック」にご相談ください。

歯周病は歯を失う原因の第一位です

歯周病は、歯ぐきの炎症から始まり、悪化すると歯を支える顎の骨を溶かし、やがては歯が抜けてしまう病気です。初期の段階では自覚症状がほとんどないため、気づいたときにはかなり進行していることがあります。日本人の歯を失う原因の第一位は、この歯周病です
歯周病の原因はさまざまで、喫煙や不摂生、ストレスなどが挙げられます。また、ブラッシングが不十分で、お口の汚れが落としきれず、プラーク(歯垢)や歯石を溜めてしまうと、歯周病の感染リスクが高まります。歯周病も虫歯同様、早期発見・早期治療が大切です。気になる症状がありましたら、なるべく早くご相談ください。
歯周病の与える全身への影響
歯周病が悪化すると歯が抜けてしまうことにつながりますが、歯周病の悪影響はお口の中だけにとどまりません。次のような全身疾患と深い関係があるといわれています。
糖尿病

糖尿病と歯周病には深い相互関係がみられます。互いの病状の悪化を誘発するといわれています。
心臓病や脳梗塞

歯周病菌が血管に入ると血栓ができやすくなります。そのため心臓病や脳梗塞などを招きやすくなるといわれています。
誤嚥性肺炎(ごえんせいはいえん)

唾液に含まれる歯周病菌が気管に入り込むと、肺に炎症を起こすことがあります。高齢者に多くみられる肺炎です。
早産

子宮の筋肉に影響を与えてしまうことがある歯周病菌。早産や低体重児出産を引き起こす原因となります。
骨粗鬆症(こつそしょうしょう)

歯周病により歯を失うことと全身の骨密度の低下には関連性があるという報告があります。
当クリニックの歯周病治療について
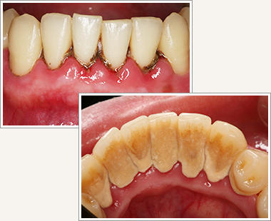
スケーリング

「スケーラー」という器具で、歯と歯の間や歯と歯ぐきの溝(歯周ポケット)の部分に見えるプラークや歯石を取り除きます。
ルートプルーニング

「キュレット」という器具でスケーリングでは落としきれない歯石を取り除きます。仕上げに歯面をツルツルにすることでプラークの再付着を防ぎます。
レーザー治療

レーザー治療にはさまざまな効果が期待できます。歯周ポケット内を滅菌したり、歯ぐきからの出血や腫れ、膿などの症状を軽減したりします。処置が簡単で、痛みがほとんどありませんので局所麻酔が不要です。
歯周ポケット掻把(そうは)術

局所麻酔後、歯周ポケットの奥深くに溜まったプラークや歯石を除去し、歯周病に感染した歯ぐきや膿を除去する外科的処置です。
フラップ手術

麻酔をした後で歯肉を切開。そして歯周ポケットの奥深くに付着しているプラークや歯石、そして感染した組織をすっかり取り除き、最後に歯肉を縫合します。
ご自宅でのケアが重要です

歯周病の予防やケアにおいて、歯科医院での治療や定期的な歯のクリーニングはとても効果的ですが、毎日のご自宅でのケアは欠かせません。お口の状態に合った正しいブラッシングを行うことで、プラークや歯石の付着をできるだけ防ぐことが大切なのです。
当クリニックでは、定期検診において必要な場合はブラッシング指導も行っています。効果的なブラッシングを身につけ毎日のケアに活かしてください。そして毎日のケアで落としきれない部分に関しては、歯科医院でのPMTCなどを受けしっかりクリーニング。そうすることで歯周病や虫歯の予防につなげましょう。